• +91 471 2724243, 9645229797, 9152400400, 9152800800 Emergency No: 9846090920
  • Our Office Thompil Building, Sasthamangalam SUNDAY WORKING

Surgical Removal of Impacted Teeth in Trivandrum, Kerala

Surgical Removal of Impacted Teeth - Dr. Kashi’s Ashwathi Dental Clinic

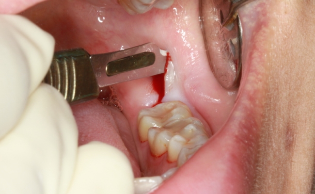
Surgical Removal of Impacted Teeth are tooth removal procedures in which surgical access is required to completely remove a tooth. Even if the tooth is visible in the mouth without surgically exposing it, surgical techniques may be necessary to remove the tooth. This includes sectioning the tooth into two or more pieces, whether or not a soft tissue incision is made.

Surgical tooth extractions include removal of impacted wisdom teeth (third molars), but this does not mean that all wisdom teeth requiring removal are required to be removed surgically. Removal of a tooth is prescribed if the tooth is too extensively damaged from decay or trauma to be fixable, or if it is infected and the patient is not a candidate for endodontic (root canal) treatment.

Extensively damaged teeth, and teeth with multiple curved roots frequently require extraction by surgical technique when removal is necessary. Teeth which have been endodontically treated and later need to be removed for some reason, frequently require surgical technique as their roots tend to be more brittle.

Surgical Removal of Impacted Teeth Trivandrum