Dr. Kashi’s Ashwathi Dental Clinic's mission is to offer a progressive range of treatments that help you keep a healthy smile, combat gum disease and to ensure that your own natural teeth are preserved as much as possible. This means that tooth extraction will only be carried out when absolutely necessary. We call this minimally invasive dentistry.
General dentistry treatments by Dr. Kashi’s Ashwathi Dental Clinic, Trivandrum listed below are designed to help you regain an optimal level of oral health, especially after incidences of gum disease or tooth decay.
Deep cleaning: This treatment is carried out by one of our dental hygienists who will ensure that harmful plaque and bacteria are eliminated, leaving your whole mouth and teeth spotless. 
Periodontal cleaning: When gum problems evolve they become periodontal disease, it is important to carry out a more thorough clean in order to get rid of the solidified plaque and tartar which could harbour the infection.

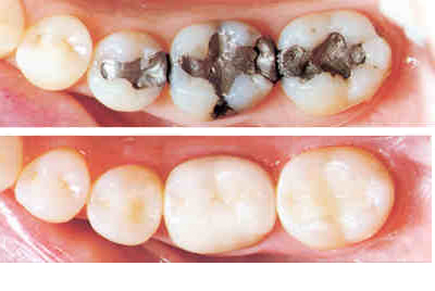
Fillings: Fillings are used when you experience early tooth decay which result in external damage of the enamel and dentin. Your dentist will remove the decayed portion of the tooth and fill the area painlessly and with materials which blend in with your tooth colour.

Broken teeth treatment: If you have broken a tooth, there is a chance that it will need to be removed to avoid spreading infection. Depending on the severity of the damage, your dentist will recommend substituting the broken tooth with a choice lifelike prosthetic appliance so that no one will be able to tell.
