<
  • +91 471 2724243, 9645229797, 9152400400, 9152800800 Emergency No: 9846090920
  • Our Office Thompil Building, Sasthamangalam SUNDAY WORKING

Dental Denture in Trivandrum, Kerala

Dentures Fixing Treatment - Dr Kashi's Ashwati Dental Clinic

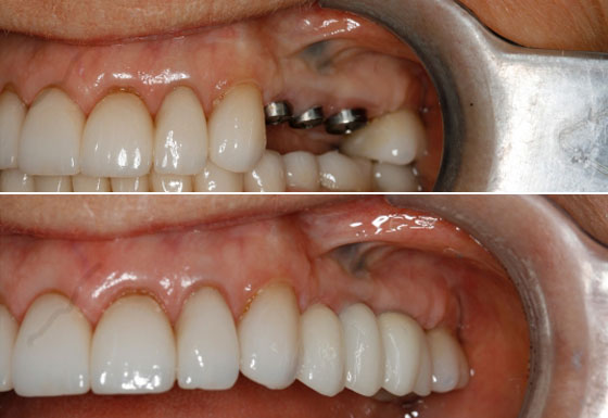
  • Missing teeth – If you are missing one or more teeth, dental implants may be the best option for replacement. Dental Implants have many advantages
  • Aesthetics – Aesthetically they can look like a natural tooth and will sit in the gum in the same way as a natural tooth.
  • No damage to remaining teeth – Unlike bridges or dentures, dental implants do not require support from other teeth.
  • Prevent bone loss – Having a dental implant in the bone will stop the bone from shrinking and therefore will maintain facial support and structure.
  • Increase life of remaining teeth – Dental implants will protect the remaining teeth from excessive forces (by spreading the chewing load) and will stop teeth migrating, tilting and over-erupting.
  • Fixed – Dental implants are fixed in your mouth and do not require removal as with dentures.
  • No more fillings or sensitivity – Dental implants will never need a filling or root canal treatment and they will never be sensitive.

Dental Denture in Trivandrum Kerala