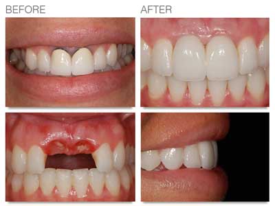
Prosthodontics, also known as dental prosthetics or prosthetic dentistry, is the area of dentistry that focuses on dental prostheses. Prosthodontists are experts in the restoration and replacement of teeth - they make smiles look beautiful and function the way they should. They specialize in treating and handling dental and facial problems that involve restoring missing tooth and jaw structures. A prosthodontist is highly trained in cosmetics, dental implants, crowns, bridges, dentures, temporomandibular disorders (TMJ/TMD), and more.
prosthodontists are qualified to offer care in state-of-the-art procedures and techniques, such as:
